19 सेमी की विशाल एड्रिनल फिओक्रोमोसाइटोमा ट्यूमर की सफल शल्य चिकित्सा
19 सेमी की विशाल एड्रिनल फिओक्रोमोसाइटोमा ट्यूमर की सफल शल्य चिकित्सा पीबीएम अस्पताल
भारत में ऑपरेट की गई सबसे बड़ी एड्रिनल ट्यूमर्स में से एक
मुख्यमंत्री आयुष्मान योजना के तहत निःशुल्क हुआ ऑपरेशन
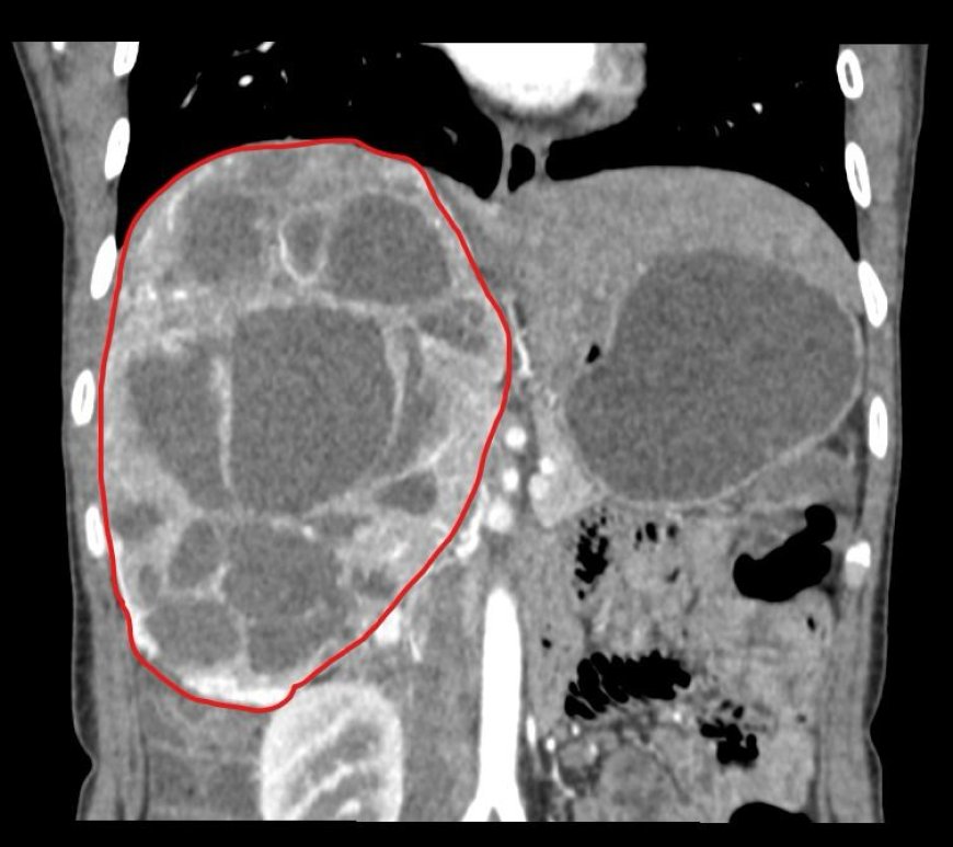
बीकानेर । प्रिंस बिजय सिंह मेमोरियल अस्पताल, सरदार पटेल मेडिकल कॉलेज, बीकानेर में एक दुर्लभ और जटिल ऑपरेशन में 19 सेंटीमीटर की विशाल एड्रिनल फिओक्रोमोसाइटोमा ट्यूमर को सफलतापूर्वक हटाया गया। यह ट्यूमर भारत में अब तक ऑपरेट किए गए सबसे बड़े एड्रिनल ट्यूमर्स में से एक माना जा रहा है।
यह ट्यूमर दाहिनी एड्रिनल ग्रंथि से उत्पन्न हुआ था। रोगी को लंबे समय से अनियंत्रित रक्तचाप, अत्यधिक पसीना आने और दिल की धड़कनों में तेजी की शिकायत थी — जो फिओक्रोमोसाइटोमा की प्रमुख लक्षण होते हैं। यह एक दुर्लभ लेकिन गंभीर स्थिति होती है जिसमें शरीर में अत्यधिक कैटेकोलामाइन हार्मोन बनते हैं।
बायोकेमिकल जाँच में यह ट्यूमर मेटाबॉलिक ऐक्टिव था।
सीटी स्कैन और थ्रेड वेस्कुलर रिकंस्ट्रक्शन से पता चला कि यह ट्यूमर अत्यधिक रक्तसंचारित था और IVC (इंफीरियर वेना केवा), यकृत, दाहिनी वृक्क शिरा, डायाफ्राम और ड्योडेनम जैसे महत्वपूर्ण अंगों के अत्यंत समीप था, जिससे शल्य चिकित्सा अत्यंत जटिल बन गई।
इस जटिल शल्य चिकित्सा का नेतृत्व प्रो. डॉ. मुकेश चन्द्र आर्य, विभागाध्यक्ष यूरोलॉजी ने किया। उनके साथ डॉ. योगेन्द्र, डॉ. अभिषेक और डॉ. नरेंद्र ने सटीक योजना और कुशल तकनीकी के साथ ओपन राइट एड्रिनलेक्टॉमी संपन्न की।
ऑपरेशन से पूर्व रोगी को एंडोक्रिनोलॉजिस्ट डॉ. हरदेव नेहरा के मार्गदर्शन में अल्फा-ब्लॉकेड, बीटा-ब्लॉकेड, हाई सोडियम डाइट और आइवी हाइड्रेशन द्वारा हीमोडायनामिक रूप से स्थिर किया गया।
रोगी का ओपन राइट एड्रिनलेक्टॉमी किया गया। एनेस्थीसिया टीम का नेतृत्व प्रो. डॉ. कांता भाटी (विभागाध्यक्ष, एनेस्थीसिया) ने किया। उन्हें डॉ. जिनेश वैद, डॉ. ऋचा कचावा और डॉ. सर्वानी ने सक्रिय सहयोग दिया। टीम ने सोडियम नाइट्रोप्रुसीड, फेंटोलामीन, नॉरएपिनेफ्रीन, फिनाइलएफ्रिन, आइवी फ्लुइड्स व क्रॉस-मैच ब्लड जैसी सभी आवश्यक तैयारियों के साथ ऑपरेशन को सुरक्षित ढंग से पूरा किया। यह ऑपरेशन मुख्यमंत्री आयुष्मान योजना के तहत नि:शुल्क किया गया।
ऑपरेशन के बाद रोगी की स्थिति स्थिर रही और उन्हें डॉ. उत्तम के निरंतर देखरेख में रखा गया। बायोप्सी रिपोर्ट ने फिओक्रोमोसाइटोमा की पुष्टि की। प्रो. डॉ. मुकेश आर्य ने कहा, “यदि किसी रोगी को बार-बार रक्तचाप बढ़ने, दिल की धड़कनों में तेजी और अत्यधिक पसीना आने की शिकायत हो, तो उसे फिओक्रोमोसाइटोमा जैसे सेकंडरी कारणों के लिए अवश्य जांच कराना चाहिए। समय पर निदान और उपयुक्त सर्जिकल सेंटर में रेफरल जीवन बचा सकता है।”
इस ऐतिहासिक ऑपरेशन ने पीबीएम अस्पताल और एसपी मेडिकल कॉलेज, बीकानेर की उच्च सर्जिकल दक्षता और विभागीय समन्वय को दर्शाया है। संस्थान के प्राचार्य एवं नियंत्रक डॉ. गुंजन सोनी ने पूरी टीम को बधाई देते हुए कहा की “ऐसी उपलब्धियां हमारे संस्थान को गौरव और राष्ट्रीय पहचान दिलाती हैं और उत्कृष्टता की परंपरा को आगे बढ़ाती हैं।
